
米国皮膚科学会(American Academy of Dermatology:AAD)の 医学生涯教育プログラムの1つである『Question of the Week』から厳選した問題(日本語版)を毎月1問お届けします。
The Content is owned by and licensed with the permission of the American Academy of Dermatology (“AAD”) for personal educational use only. The Content may not be distributed in whole or in part to any third parties without express written permission from AAD, nor may end users translate, edit, modify or otherwise create derivative works from the Content. The licensing of the Content by AAD does not constitute or imply any endorsement of any company and/or any of its goods, services or written work product.
…Detail ∨
>免責事項
問題
【症状】
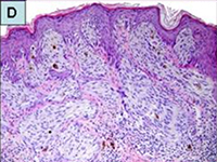
女児、3ヵ月。1ヵ月前から下瞼、鼻部、頬部、および前額部上部に薄い淡紅色の局面が生じているため受診した。定期的に保湿剤を塗布しても改善はみられず、病変は日光曝露により増悪した。服薬歴や外因性の刺激物質への曝露歴はなかった。特記すべき家族歴として、…
【2025年10月08日】
【症状】
女性、20代。1週間前から両側の下腿、足首、足に紫色調の幾何学的な形状を示す紫斑性の丘疹および局面が生じているため受診した。発疹は疼痛、そう痒を伴い、倦怠感と関節痛もあるという。患者によれば最近病気にかかったことや薬剤の新規処方はないという。注目すべき点として…
【2025年09月10日】
【症状】
男児、10歳。生来健康である。約6週間前に生じた発疹の評価のために小児皮膚科外来を受診した。両親によれば発疹が出現する1週間前に微熱、筋肉痛、軟便があり、顔面の発赤は他の身体部位に発疹が現れる数日前に出現したという。…
【2025年08月08日】
【症状】
女性、84歳。30年前に左乳房の浸潤性乳管癌の治療のため、乳房部分切除術と放射線療法を受けた。最近、左乳房下部に病変が生じているのに気づいたため受診した。病変は無症候性であり、いつからあったかは分からないという。5 mm径のパンチ生検を行った。
【2025年07月09日】
【症状】
女性、89歳。発熱および全身に融合する紅色局面と膿疱が急に生じたため入院した。これらの病変が出現する前、患者はテルビナフィン(24日前より)とフロセミド(7日前より)の投与を受けていた。乾癬の病歴や家族歴はなかった。後日、…
【2025年06月11日】
【症状】
転移性大腸腺癌を有する男性、53歳。3ヵ月前から複数の手指の爪囲に進行性の病変が生じている。患者は、ここ1週間のうちに丘疹から出血しやすくなっていることに気づいた。
【2025年05月14日】
【症状】
男性、33歳。右上背部に10×8cm大の脂肪腫が発生し、外科的切除を行った。手術は合併症なく終了し、患者は退院した。退院1時間後に患者から電話があり、手術部位に「増大するコブ」ができたという。患者の配偶者が20分間圧迫を試みたが、…
【2025年04月09日】
【症状】
女児、14歳。新たに出現した腫瘍の評価のため受診した。身体診察では8mm大の淡紅色~褐色のまだら状の外観を呈する結節性病変(papulonodule)が認められ、生検を行った。病理診断報告書には病理標本の代表的な部分が示されており、…
【2025年03月12日】
【症状】
女性、50代半ば。3ヵ月前から右肩後部に硬い皮下腫瘤が生じているため受診した。病変の大きさは変化しておらず、排膿したことはない。特記すべきこととして、右乳房にトリプルネガティブ乳癌の既往歴があり、…
【2025年02月12日】
【症状】
女性、58歳。頭皮、胸部、爪に病変が生じている。頭皮の病変は強いそう痒を伴っており、何年も前から持続しているという。頭皮の病変部の皮膚生検を行った。
【2025年01月08日】
2025年11月5日(水)
1回目/19:00~19:30
2回目/20:00~20:30
ヒルドイドWEBライブセミナー
------------------------------------
2025年11月19日(水)
12:10~13:00
アメナリーフWEBライブセミナー
------------------------------------
2025年12月3日(水)
第1部/12:30~13:05
第2部/13:20~13:55
ミチーガWEBライブセミナー
------------------------------------
2025年12月4日(木)
第1部/18:30~18:50
第2部/19:00~19:20
第3部/19:30~19:50
薬剤師対象 皮膚外用薬WEBライブセミナー
※各コンテンツ配信医師のご所属先、
肩書きはご監修当時のものとなります。