皮膚科医向け会員サイト デルマド

クイズで学ぶ 皮膚科診療の“新常識”

総合医学週刊誌「日本医事新報」に掲載されているプライマリ・ケア医の先生向けの診療クイズをご覧いただけます。皮膚科学領域の「新常識」について皮膚科専門医が、写真・画像付きで診断・治療に関して出題し、知っておいて欲しいポイントを解説するシリーズです。

> 免責事項

第20回

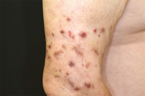
結節性痒疹の新常識:末梢神経障害の合併は稀ではない

第20回:結節性痒疹の新常識:末梢神経障害の合併は稀ではない

70歳代,男性。アトピー性皮膚炎の既往はなく,気管支喘息などを含めアトピー素因もない。2年前に交通外傷で頸部を損傷してから,片側優位な上腕伸側の異常感覚が出現し,疼痛とかゆみを伴っている。1年前からは同領域に結節が多発し(図1),後に全身に拡大したため,当科を受診した。本症例で有用な検査はどれか。

詳細を見る


ページのトップへ

第19回

皮膚癌の新常識:他疾患との鑑別

第19回:皮膚癌の新常識:他疾患との鑑別

70歳代,男性。数年前から左鼻部に黒色結節が出現し,徐々に拡大したため来院した。既往歴,家族歴はなく,外傷の既往もない。初診時,左鼻背部に,痛みなどの自覚症状を伴わない黒色結節がみられた。下床との癒着はない(図1)。ダーモスコピーの拡大所見を図2に示す。本症例で最も考えられる診断は以下のうちどれか。

詳細を見る


ページのトップへ

第18回

帯状疱疹の新常識:薬剤投与量の調節

第18回:帯状疱疹の新常識:薬剤投与量の調節

60歳代,男性。慢性腎臓病のため,血液透析施行中。右胸背部から右上肢の疼痛と発疹が出現し,増悪するため受診した。右胸部,右上背部,右上腕内側に発赤,小水疱,膿疱が集簇しており,皮疹に一致して強い疼痛を伴っている(図1)。本患者の治療で正しいのは以下のうちどれか。

詳細を見る


ページのトップへ

第17回

伝染性膿痂疹(とびひ)の新常識:病変範囲に応じた治療選択

第17回:伝染性膿痂疹(とびひ)の新常識:病変範囲に応じた治療選択

6歳,男児。2日前より左下肢に水疱とびらんが出現し,搔破して増加したため,当科を受診した。初診時,左大腿屈側~膝窩に大豆大の水疱が散在し,小びらんも認めた(図1)。全身症状はない。本患者に行うべき治療は以下のうちどれか。

詳細を見る


ページのトップへ

第16回

水疱性類天疱瘡の新常識:薬剤が発症誘因となりうる

第16回:水疱性類天疱瘡の新常識:薬剤が発症誘因となりうる

80歳代,女性。半年前から,体幹四肢に大型の緊満性水疱や痒みを伴う紅斑が出現している(図1)。抗アレルギー薬内服とステロイド外用治療を開始したが,増悪してきたため受診した。本患者の診察,検査において,確認・実施すべきことは以下のうちどれか。

詳細を見る


ページのトップへ

第14回

薬疹の新常識:薬剤性過敏症症候群(DIHS)の早期診断に有用な検査

第14回:薬疹の新常識:薬剤性過敏症症候群(DIHS)の早期診断に有用な検査

70歳代,男性。てんかん発作に対し,カルバマゼピンの内服が開始された。内服開始後6週時に発熱と体幹の皮疹が出現し,顔面の腫脹を伴うようになったため,当科を受診した(図1)。白血球1万2800/mm3,肝機能障害があり,両側鎖骨上窩にリンパ節腫大を認め,薬剤性過敏症症候群(DIHS)を疑った。
本患者において,診断のために行うべき検査は以下のうちどれか。

詳細を見る


ページのトップへ

第13回

尋常性ざ瘡の新常識:面皰の毛孔閉塞を改善する治療

第13回:尋常性ざ瘡の新常識:面皰の毛孔閉塞を改善する治療

14歳,女児。額にニキビができるようになり,ニキビ用の洗顔料を使っているが,次々とニキビができて,毛穴も目立つようになった(図1)。これまでにニキビ治療を受けたことはない。
本症例において,まず行うべき治療はどれか。

詳細を見る


ページのトップへ

第12回

単純ヘルペスの新常識:抗体検査と抗原検査

第12回:単純ヘルペスの新常識:抗体検査と抗原検査

27歳,男性。幼児期から重症のアトピー性皮膚炎があり,ステロイド外用,JAK阻害薬内服の治療を受けていた。数日前から顔面の痛み,発熱,倦怠感があり,両眼囲,頰,下顎に皮疹が出現したため受診した(図1)。
本患者において,診断のために行うべき検査はどれか。

詳細を見る


ページのトップへ

第11回

小児アトピー性皮膚炎の新常識:移行期医療と皮膚科心身医学的アプローチ

第11回:小児アトピー性皮膚炎の新常識:移行期医療と皮膚科心身医学的アプローチ

10歳代,女児。乳児期から近医にてステロイド外用薬などで治療していた。1カ月前から顔面の紅斑が悪化し,登校できなくなったため,当科を受診した(図1)。注射薬による治療は希望されず,外用療法に加え,アブロシチニブ内服を開始した。1カ月後,顔面の紅斑はやや軽快していたが,2週間分の残薬が生じていた。
本患者において,次に行うべきことは何か。

詳細を見る


ページのトップへ

第10回

虫刺症の新常識:トコジラミ刺症の診断方法

第10回:虫刺症の新常識:トコジラミ刺症の診断方法

50歳代,女性。数カ月前から,同居する娘の四肢に痒みを伴う皮疹が出現した。最近になって自身にも四肢に痒みを伴う皮疹が出現したため,ダニが原因と考え,市販の燻煙式殺虫剤を用いて室内の害虫駆除処置を計3回,実施した。しかし四肢の痒みや皮疹が毎日のように出現し,改善しないため当科を受診した。初診時,前腕や手背を中心に浸潤性紅斑,紅色丘疹が孤立性に散在し,搔破痕や色素沈着を伴っていた。本症例の診断は以下のうちどれか。

詳細を見る


ページのトップへ

第9回

多汗症の新常識:初診時診断と治療の開始基準

第9回:多汗症の新常識:初診時診断と治療の開始基準

27歳,女性。小学校高学年の頃より,手の汗が多く,授業のノートやテスト用紙が汗で濡れて集中できなかった。高校生頃より,制服着用の際,腋の下の汗も多くなってきた。いろいろな市販の製品を使用してきたが,改善がないため当院を受診。初診時,手のひらからの発汗を視認したが,腋の下の汗は確認できなかった。本患者における診断と治療方針は以下のうちどれか。

詳細を見る


ページのトップへ

第8回

酒さの新常識:アレルギー疾患の併発は稀ではない

第8回:酒さの新常識:アレルギー疾患の併発は稀ではない

40歳代,女性。小学生低学年で寛解したアトピー性皮膚炎の既往あり。数年前から顔の赤みや火照りが気になっていた。体幹や四肢には皮疹がない。スギの花粉症あり。本患者について,診察,検査,治療ですべきことは以下のうちどれか。

詳細を見る


ページのトップへ

第7回

黒色表皮腫の新常識:病型の考え方

第7回:黒色表皮腫の新常識:病型の考え方

10歳代,男児。両側の後頸部から鎖骨上窩,腋窩部,鼠径部を中心に全身がやや濃い色調で,皮丘・皮溝が明瞭な皮野を呈している。姉も同様の症状に罹患しているが,両親にはこの症状がない。薬剤は内服しておらず,ほかに症状は認めない。本症例の診断として最も考えられるものはどれか。

詳細を見る


ページのトップへ

第6回

疥癬の新常識:疥癬は肉眼で見える

第6回:疥癬の新常識:疥癬は肉眼で見える

14歳,男児。6カ月前から,手足,体幹に痒みを伴う発疹が出現した。妹にも手足に痒みを伴う皮疹がある。近医でベリーストロングクラスのステロイド外用薬を処方されたが,治りが悪いため,当院へ紹介受診となった。本患者における診断は以下のうちどれか。

詳細を見る


ページのトップへ

第5回

帯状疱疹の新常識:検査法の選び方

第5回:帯状疱疹の新常識:検査法の選び方

46歳,男性。臀部に痛みが生じた2日後に皮疹が出現したため,当科を受診した。初診時,仙骨部,臀部に軽度の疼痛を伴う小水疱の集簇を認めた。患者の話によると,以前,同部位に皮疹が出たことがあるかもしれないとのことであった。本患者において,行うべき検査は以下のうちどれか。

詳細を見る


ページのトップへ

第4回

乾癬の新常識:関節炎を合併しやすい臨床的特徴

第4回:乾癬の新常識:関節炎を合併しやすい臨床的特徴

32歳,男性。数年前より頭皮の生え際を中心とする紅斑,鱗屑が出現し,増悪と寛解を繰り返していた。1年前より爪の変形が出現し,近医皮膚科を受診しても改善しないため,当科を受診した。受診時,頭皮の生え際,腋窩,臍部,臀裂部,爪に病変を認めた。本患者において,今後出現に注意すべき症状は以下のうちどれか。

詳細を見る


ページのトップへ

第3回

爪白癬の新常識:巻き爪への対応

第3回:爪白癬の新常識:巻き爪への対応

80歳代,女性。老人ホームの医師から巻き爪の良い治療があるので皮膚科に紹介すると言われ受診。足の爪が自分で切れず,施設のスタッフでも切れない。肝機能,腎機能に大きな問題なし。本患者において,まず行うべき治療は以下のうちどれか。

詳細を見る


ページのトップへ

第2回

褥瘡の新常識:創状態のアセスメント

第2回:褥瘡の新常識:創状態のアセスメント

75歳,男性。慢性硬膜下血腫で自宅療養中,パーキンソン病による無動あり。日常生活自立度C1,仰臥位を好む。仙骨部から臀裂に褥瘡を生じた。圧すると痛みを訴え,熱感と硬結を触れる。この褥瘡の創状態を改定DESIGN-R®2020で評価するとき,深さは以下のうちどれか。

詳細を見る


ページのトップへ

第1回

小児アトピー性皮膚炎の新常識:新規薬剤と使いどころ

第1回:小児アトピー性皮膚炎の新常識:新規薬剤と使いどころ

10歳,男児。乳児期から瘙痒を伴う湿疹が出現し,増悪と寛解を繰り返していた。半年ほど前から湿疹が増悪し,近医でステロイド外用薬が処方されていたが改善せず,瘙痒による夜間の睡眠障害等も出現して不登校状態となり当科を受診した。初診時,全身に強い湿疹を認めた。本患者において,まず行うべき治療は以下のうちどれか。

詳細を見る


ページのトップへ

WEB LIVE SEMINAR

マルホWEBライブセミナー

2026年5月27日(水)
第1部/12:30~13:00
第2部/13:20~13:50
多汗症WEBライブセミナー
------------------------------------
2026年6月23日(火)
講演1/19:00~19:40
講演2/20:00~20:40
多汗症・帯状疱疹関連WEBライブセミナー

皮膚科関連学会/情報検索

マルホ皮膚科セミナー

maruhoツールオーダー

※各コンテンツ配信医師のご所属先、
肩書きはご監修当時のものとなります。

ページトップへ