
米国皮膚科学会(American Academy of Dermatology:AAD)の 医学生涯教育プログラムの1つである『Question of the Week』から厳選した問題(日本語版)を毎月1問お届けします。
The Content is owned by and licensed with the permission of the American Academy of Dermatology (“AAD”) for personal educational use only. The Content may not be distributed in whole or in part to any third parties without express written permission from AAD, nor may end users translate, edit, modify or otherwise create derivative works from the Content. The licensing of the Content by AAD does not constitute or imply any endorsement of any company and/or any of its goods, services or written work product.
…Detail ∨
>免責事項
問題
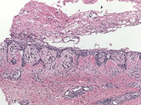
【症状】
アフリカ系アメリカ人女児、12歳。1年ほど前から体幹、臀部、下肢にそう痒を伴う脱色素斑が出現した。リンパ節腫大はない。これまで皮膚軟化薬とトリアムシノロン0.1%クリーム1日2回外用などの治療を行ってきたという。皮膚生検では…
【2021年02月10日】
【症状】
妊娠29週の経産婦、43歳。1週間前から、集簇した膿疱とそう痒を伴う紅斑および紅斑性局面が出現した。皮疹は腋窩から出現し、次第に顔面を含む全身に広がったが、掌蹠部には出現していない。来院2週間前から妊娠糖尿病を発症しており、インスリン皮下注射を行っている。全身症状はない。乾癬の既往や家族歴はない…
【2021年01月13日】
【症状】
女性、50代。血管炎の疑いがあり、リウマチ科より精査目的で紹介された。弁粘液腫様変性の病歴があり、来院4ヵ月前に僧帽弁置換術を受けた。また、同時期に指尖と足趾に有痛性の赤褐色~黒色の丘疹が生じたが自然消退し、手掌にも無痛性の赤褐色斑が出現した。来院2ヵ月前から大腿に有痛性の皮下結節が出現…
【2020年12月09日】
【症状】
72歳、男性。左頬に腫瘤が生じ、急速に増殖している(上画像)。身体診察では、無症候性で皮膚常色の1.5 cm大の硬い小結節がみられた。原発腫瘍の切除生検を実施したところ、メルケル細胞癌(MCC)であった。病期分類のため、フルオロデオキシ…
【2020年11月11日】
【症状】
慢性膵炎の既往のある男性、72歳。5年以上前から背中に病変が生じ、次第に悪化している。強度の強いステロイドの局所外用とトリアムシノロンアセトニドの病変への皮内注射を行ったが、わずかしか改善しなかった。生検の結果、大きな異型星状線維芽細胞を伴う皮膚の線維化と付属器の減少がみられた。
【2020年10月14日】
【症状】
2型糖尿病の既往がある女性、72歳。乳房下溝、腋窩、腹部、鼠径部のひだに2ヵ月前からそう痒を伴う皮疹が生じている。患者はインドに住む家族のもとを年2回訪れている。患者は最初に外来診療機関を受診し、経口フルコナゾール200 mg/週を4週間投与されたが…
【2020年09月09日】
【症状】
アジア系女性、25歳。6日前から体幹にそう痒を伴う皮疹が発生し、受診した。皮疹が出現する3週間前よりケトン体ダイエットを開始していた。尿検査でケトン体値は160 mg/dLであった。身体診察では写真に示すように、胸部および背部に一部色素沈着を伴う…
【2020年08月12日】
【症状】
男性、71歳。急性骨髄性白血病である。両側前腕に壊疽が生じている。患者は化学療法誘発性好中球減少症をきたしており、レボフロキサシン、アシクロビル、ポサコナゾールを予防投与されている。画像検査および血液培養が適切に行われたが…
【2020年07月08日】
【症状】
女性、54歳。5年前から写真に示す皮疹があり、受診した。外傷部位に新たな皮疹が生じるようである。
【2020年06月10日】
【症状】
男性、65歳。バンコマイシンの投与開始から10日後に水疱性皮疹が出現した。身体診察では、ロゼット状に集簇する水疱およびびらんが多数認められる。
【2020年05月13日】
2026年1月22日(木)
第1部/18:30~18:50
第2部/19:10~19:30
べピオウォッシュゲルWEBライブセミナー
------------------------------------
2026年1月28日(水)
第1部/18:30~19:00
第2部/19:15~19:45
マルホ化粧品イニクスWEBライブセミナー
------------------------------------
2026年2月2日(月)
第1部/12:30~13:10
第2部/13:30~14:10
第3回 日本皮膚科学会/マルホ共催 皮膚科看護師向けWEBライブセミナー
------------------------------------
2026年2月17日(火)
18:30~19:30
診断薬WEBライブセミナー
※各コンテンツ配信医師のご所属先、
肩書きはご監修当時のものとなります。