maruho square:スキン- テアを知り、そして鉄人に!
-
- 医療法人社団 廣仁会 札幌皮膚科クリニック院長 安部 正敏 先生
スキン-テアとは
スキン-テアとは、皮膚の裂傷であり、脆弱な皮膚を有する患者さんにおいて、軽微な外力により生ずる創傷と捉えることができる1)。
英語ではskin tearと表記し、初心者には『皮膚の涙』と理解されるかもしれないが、tearには『涙』とともに『裂け目』『割れ目』という意味がある。無論この場合の意味は後者となり、発音が異なる。敢えてカタカナで書くが、明治時代の貴婦人を気取って『スキンティア』なぞと発音すると、赤っ恥である。
スキン-テアは前述の如く、軽微な外力により生ずるため海外では、スキン-テアが看護師による虐待と誤認され、特に高齢者の看護ケアを行う上で重要なキーワードとして認識されるようになった。本邦では、欧米と比較し訴訟となるリスクは少ないと思われるが、今後、患者さんの権利意識が一層強化された場合には看過できない問題となろう。
スキン-テアの定義
スキン-テアは、主として高齢者の四肢に発生する外傷性創傷であり、摩擦単独あるいは摩擦・ずれによって、表皮が真皮から分離する部分層創傷、もしくは表皮および真皮が下層構造から分離する全層創傷である。一般社団法人日本創傷・オストミー・失禁管理学会は、「通常の医療・療養環境の中で生じる摩擦やずれによって高齢者に発生する皮膚の急性損傷」と定義している2,3)。
スキン-テアの実際
スキン-テアは、高齢者の四肢に好発する創傷であり、表皮のみが傷害され生ずる比較的浅い創と、真皮に及ぶ深い創がみられる場合がある。時に、表皮と真皮が分離する結果、あたかも水疱蓋のごとく、真皮と分離した表皮が創面上に残存する場合もみられる。通常周囲には紫斑を伴うことが多く、皮膚科医であれば比較的よく遭遇する臨床症状である(図1)。
あたりまえであるが、医師が保険診療を行う上では、国際疾病分類第10版(ICD-10)に基づく診断名をつける必要があり、『表在損傷』や『皮膚潰瘍』などとなる。スキン-テアと記載しても、その用語はICD-10に収載がないことから保険診断上は意味をなさない。
日本創傷・オストミー・失禁管理学会学術教育委員会では、スキン-テアの同定方法を、「摩擦・ずれによって、皮膚が裂けたり、剥がれたりする皮膚損傷をスキン-テアとする。なお、外力が関係する天疱瘡、類天疱瘡、先天性表皮水疱症などの創傷については、疾患に由来するものかは判断し難いため、含めて調査する」としている2)。このため、広く医療従事者には天疱瘡、類天疱瘡、先天性表皮水疱症の理解が求められることとなるが、詳細が分からない場合には皮膚科医にコンサルテーションするとよい。

スキン-テアの具体例として、
- 四肢がベッド柵に擦れて皮膚が裂けた(ずれ)
- 絆創膏を剥がす時に皮膚が裂けた(摩擦)
- 体位変換時に身体を支持していたら皮膚が裂けた(ずれ)
- 医療用リストバンドが擦れて皮膚が裂けた(摩擦)
- 更衣時に衣服が擦れて皮膚が裂けた(摩擦・ずれ)
- 転倒したときに皮膚が裂けた(ずれ)
などが挙げられる。なお、褥瘡や医療関連機器圧迫創傷、失禁関連皮膚障害はスキン-テアには含めないことに注意する。
スキン-テアの評価
スキン-テアのアセスメントに関しては、諸外国でも報告がある4)が、分かりやすいのは、この概念を本邦において周知し、実態調査を行っている日本創傷・オストミー・失禁管理学会が、使用を推奨しているSTAR(skin tear audit research)分類がある5)。
STAR分類とは、スキン-テアをその程度によりカテゴリー1a、1b、2a、2b、3と5つに分類する概念である。カテゴリーの数字と文字には、以下の意味がある。スキン-テアが生ずると、剥離した皮膚が創面に残存する場合とそうでない場合がある。仮に、残存した皮膚を皮弁と称すると、
1は「皮弁で創面が覆える」
2は「皮弁で創面が覆えない」
3は「皮弁がない」との評価となる。
他方、皮弁はその血流の状態から色調が変化し、
aは「皮膚と皮弁の色調は周囲と比べ差がない」
bは「皮膚と皮弁の色調は周囲と比べ差がある」を意味する。
スキン-テアに関する最近の動向
平成30年(2018年)診療報酬改定において、入院時に行う褥瘡に関する危険因子の評価に「スキン-テア」が加えられ、「皮膚の脆弱性(スキン-テアの保有、既往)」の項目が追加となった6)。この事実は、病名ではないスキン-テアという概念を、看護師のみならず医療従事者が広く共有し、褥瘡診療においてそのアセスメントに必須の項目として理解し、使用することが求められたことの証である。
スキン-テア発生機序
スキン-テアが生ずる原因には、加齢による皮膚変化が関与する7)。しかし、若年者においても、例えば副腎皮質ステロイド薬による加療を長期に受けていた場合に同様の病態となる。
スキン-テアが好発する高齢者の皮膚では、表皮の菲薄化と表皮突起の平坦化、真皮乳頭層の毛細血管係蹄の消失が観察される。この変化は高齢者においては軽微な外力により、容易に表皮剥離が起こる機序を示唆するものである。また、高齢者の表皮では、皮脂分泌の減少、セラミドや天然保湿因子の減少が起こり、バリア機能が低下する。一方、真皮の老化には、生理的老化(chronological ageing)と光老化(photo ageing)の2つのメカニズムが存在する。スキン-テアの発症にはこの光老化を理解する必要があることが示唆されている8)。
『光老化』を理解する
- 1)真皮の構造
真皮には血管や附属器を構成するさまざまな細胞が存在するが、なかでも線維芽細胞は結合組織を構成する細胞外基質(extracellular matrix:ECM)と呼ばれる蛋白群を産生・分解する重要な役割をもつ。ECMの主要な構成成分であるコラーゲンはα鎖と呼ばれるポリペプチド鎖3本からなるトリプルヘリックス構造を持ち、会合してコラーゲン線維を形成する。真皮ではI型とⅢ型が多く存在する。
一方、ECMの線維間を充填するように存在するプロテオグリカンは、コア蛋白に二糖が繰り返し重合したグリコサミノグリカン鎖が結合するシダ状構造をとる。 - 2)真皮の老化
生理的老化では、真皮は全体として萎縮し、コラーゲンおよび細胞外基質のプロテオグリカンも減少する。また、弾性線維も減少もしくは変性する。一方、光老化ではコラーゲンの変性、血管壁の肥厚、プロテオグリカンの増加や弾性線維の増加や不規則な斑状沈着、軽度の血管周囲性の炎症細胞浸潤がみられる。弾性線維の変化は光老化に特異的な変化であり、日光弾性線維症(solar elastosis)と呼ばれる。臨床的に生理的老化は細かいシワを生じ、光老化は深く目立つシワをつくる(図2)。
図2. 光老化の皮膚 記事/インライン画像
深いしわと共に開大した面皰がみられる。(Favre-Racouchot症候群と呼ばれる)
- 3)光老化のメカニズム
日光弾性線維症はUVBで強力に誘導されるが、多量のUVAでも誘導可能である9)。UVAはUVBに比較しエネルギーは低いものの太陽光線に多量に含まれ、真皮深層まで達することで線維芽細胞に作用する。
弾性線維の構成成分であるエラスチンは、線維芽細胞が産生するトロポエラスチンがクロスリンクすることで形成され、紫外線照射により産生量が亢進する。
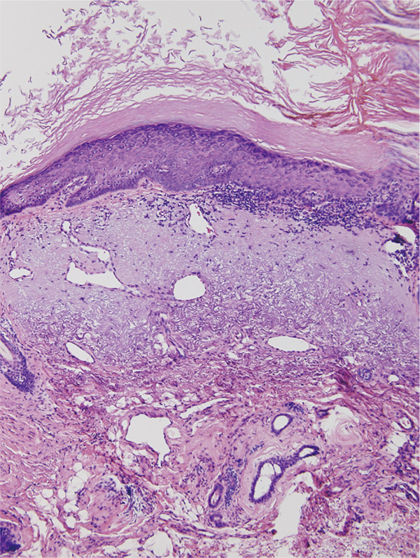
これは、紫外線障害に対する代償的産生と考えられており、結果として不規則な塊状沈着としてエラスチカ・ファンギーソン染色で観察できる。ここには、エラスチン以外にもフィブリリン、バーシカンや接着分子であるフィブロネクチンが含まれる。この現象は高齢者の露光部から採取した病理標本で、真皮乳頭層から網状層にかけて淡く好塩基性に染まる線維塊として容易に観察できる(図3)。紫外線が惹起する変化であり、日光角化症などの病理標本で高率にみられる。
高エネルギー紫外線は線維芽細胞に対し細胞傷害性を有する。細胞傷害を来さない量の紫外線はコラーゲンの産生を低下させ、matrix metalloproteinase(MMP)の産生を亢進させる10)。これらは細胞膜表面に存在するインターロイキン(IL)-1、表皮細胞増殖因子や腫瘍壊死因子-αのレセプターを通して、遺伝子レベルで制御される。その結果、プロコラーゲン遺伝子の発現は阻害され、MMPの転写は亢進する。UVAを用いた検討では、MMP-1、3、9は産生が亢進するが、MMPに抑制的に働くtissue inhibitor of MMP(TIMP)には影響を与えないとされ、これらのアンバランスにより光老化が進むと考えられている11)。ムコ多糖は生理的老化でもその量は減少し、60歳で乳児の約25%となる。しかし、光老化ではグリコサミノグリカン量は増加することが知られている12)。図3. 日光弾性線維症の病理組織学的所見 記事/インライン画像
スキン-テアの疫学
スキン-テアの疫学に関しては、日本創傷・オストミー・失禁管理学会が実態調査を行っており、そのデータが参考になる13)。この調査は、2014年学会員である皮膚・排泄ケア認定看護師が在職する施設において行われた調査である。調査対象施設は257施設、調査患者総数は93,820名であり、スキン-テア有病患者総数が720名、スキン-テア総部位数は925部位であった。
この調査によれば、診療科別の有病率は上位から①皮膚科、②膠原病科、③ICU・救急科であった。皮膚科が上位であるのは、自己免疫水疱症患者に加え、副腎皮質ステロイド薬を投与されている患者さんが多いことに関連すると思われる。逆に考えるとスキン-テアは皮膚科医が知っておかねばならない概念であるといえる。スキン-テア保有患者の平均年齢は79.6歳であり、男性62.2%、女性37.8%であった。一方栄養状態に関しては、平均BMIは19.8、直近3~6カ月間の体重減少率は5%未満が49.4%、直近5日間の栄養摂取状態は不十分が56.1%であったという。また、スキン-テア保有患者の治療状況では、副腎皮質ステロイド内服薬の使用歴がある患者さんが27.5%、副腎皮質ステロイド外用薬が11.6%、抗凝固薬が43.3%、抗がん剤・分子標的薬が15.3%、人工透析療法が8.8%、スキン-テア病変部への放射線照射歴が0.7%であった。やはり、抗凝固薬や副腎皮質ステロイド薬の全身投与を受けている患者さんはハイリスクと考え、対処が必要であろう。
スキン-テアの治療と予防
ハイリスクの患者さんにおいても、スキン-テアは摩擦やずれなどの外力によって起こるのは明白である。細心の注意を払っても避けられない場合も多いと思われるが、患者さんをケアする際、特に四肢にかかる外力を極力減らす努力が重要である。
スキン-テアを発見した場合には、適切な止血処置とともに創面の洗浄を行う。その上で、遊離している皮膚を創面において解剖学的に正常な位置に戻すことを試みる。その上で、皮膚保護機能を有するドレッシング材を使用する。具体的には、シリコーンゲルメッシュドレッシング、多孔性シリコーンゲルシート、ポリウレタンフォーム/ソフトシリコーンなどの非固着性の製品が第一選択となる。外用薬を用いる際には、上皮化を促すため創傷保湿効果を期待して、油脂性軟膏である白色ワセリンやジメチルイソプロピルアズレンを用いる。
なお、保湿薬の使用によりスキン-テア発生リスクが軽減される14)ことが知られており、積極的に使用すべきである。この場合、低刺激性で塗布する際摩擦の少ない油性ローション剤やフォーム剤などを用いるとよい。ヒルドイド®はへパリン類似物質を配合剤としてさまざまな基剤が用意され、患者さんの好選性や皮膚症状に応じて使い分けが可能である。剤型は豊富で、ソフト軟膏やクリームに加え、塗布する際の摩擦が少ないローションやフォームもあり使用感も良好である。
ローションは単に基剤を液体にしたものではなく、溶液性と乳液性などが存在する。ヒルドイド®ローション0.3%(図4)は乳液性であり、水の中に油が混ざっており、保湿効果に優れる。伸びがよく、水で落としやすい。また、ヒルドイド®フォーム0.3%(図5)はスプレー剤であり、有効成分を泡沫状にして皮膚に噴霧する製剤である。本剤は、容器に充填した圧縮ガスと共に有効成分を噴霧するスプレー剤であり、広範囲な皮疹でも使用しやすい。なお、ヒルドイド®フォーム0.3%は水性であるため、皮膚表面に噴霧後、容易に塗り広げられる。
高齢者に対する医療行為において、時に皮膚裂傷は避けて通れない場合もあるかと思われる。しかし、あまねく医療従事者はこの『スキン-テア』の概念を十分に理解することにより、そのリスクを最小限に留めたいものである。そして、予防のために適切に保湿薬を使用することがスキン-テア予防達人への第一歩となる。


- 参考文献:
-
- Ratliff CR,et al: Ostomy Wound Manage 53(3):32-34,2007
- スキン-テアの予防と管理方法(https://jwocm.org/topics/wound-care/w-003/)
- 安部正敏,ほか:日創傷オストミー失禁管理会誌 20(4):398-403,2016
- Serra R,et al: Int Wound J 15(1):38-42,2018
- ベストプラクティス スキン-テア(皮膚裂傷)の予防と管理,一般社団法人日本創傷・オストミー・失禁管理学会編,照林社,2015
- 平成30年度診療報酬改定について
【Ⅰ-3 医療機能や患者の状態に応じた入院医療の評価 -⑰入院中の患者に対する褥瘡対策】,145-148
(https://www.mhlw.go.jp/file/05-Shingikai-12404000-Hokenkyoku-Iryouka/0000193708.pdf) - Farage MA,et al :Am J Clin Dermatol 10(2):73-86,2009
- Koyano Y,et al: Int Wound J 13(2):189-197,2016
- 上出良一: 日皮会誌117(7):1129-1137,2007
- 横山洋子: FRAGRANCE J 284:36-39,2004
- Naru E.et al: Br J Dermatol 153(Suppl 2):6-12,2005
- 安部正敏: 三次元培養による真結合組織代謝の研究手技,機能性化粧品素材開発のための実験法―in vitro/細胞/組織培養―(芋川玄爾監修),p94-98,シーエムシー出版,2007
- 紺家千津子,ほか: 日創傷オストミー失禁管理会誌 19(3):351-363,2015
- Carville K. et a:l Int Wound J 11(4): 446-453,2014



